Are Heart Attacks Actually Infections?
December 11, 2025
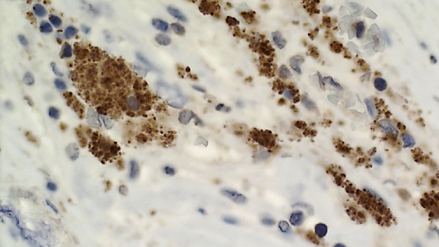
By Jessica Allerton
Researchers uncover bacterial DNA inside coronary plaques – raising new questions about diagnosis, inflammation, and future myocardial infarction prevention
3 min read
False
December 11, 2025
By Jessica Allerton
Researchers uncover bacterial DNA inside coronary plaques – raising new questions about diagnosis, inflammation, and future myocardial infarction prevention
3 min read
December 11, 2025
Inflammatory responses differ by sex in both human samples and mouse models
2 min read
December 10, 2025
By Kathryn Wighton
Researchers investigate coagulation factor II receptor as a biomarker and potential therapeutic target in ovarian cancer
2 min read
December 8, 2025
A modified ancient DNA workflow reveals genetic and microbial clues hidden in decades-old FFPE blocks
2 min read
December 2, 2025
By Shana Tetrault
Merging spatial and systemic biomarkers for precision medicine
4 min read
November 27, 2025
By Jessica Allerton
Unlocking a new frontier in diagnosing and understanding complex brain diseases long before symptoms appear
3 min read
November 24, 2025
By combining neural networks with statistical inference, scientists can now better predict how gut bacteria shape the body’s chemistry
3 min read
November 19, 2025
Researchers connect retinal vascular complexity with inflammation, cardiovascular risk, and life expectancy
1 min read
November 18, 2025
Researchers continue to search for objective tools to distinguish true gluten sensitivity from other gut–brain interaction disorders
2 min read
November 12, 2025
By Stephanie Vine
Quarraisha Abdool Karim discusses COVID-19 and why the industry must continue to invest in mRNA – and take the public along with them
11 min read
False
False
Dive deeper into the world of pathology. Explore the latest articles, case studies, expert insights, and groundbreaking research.
False