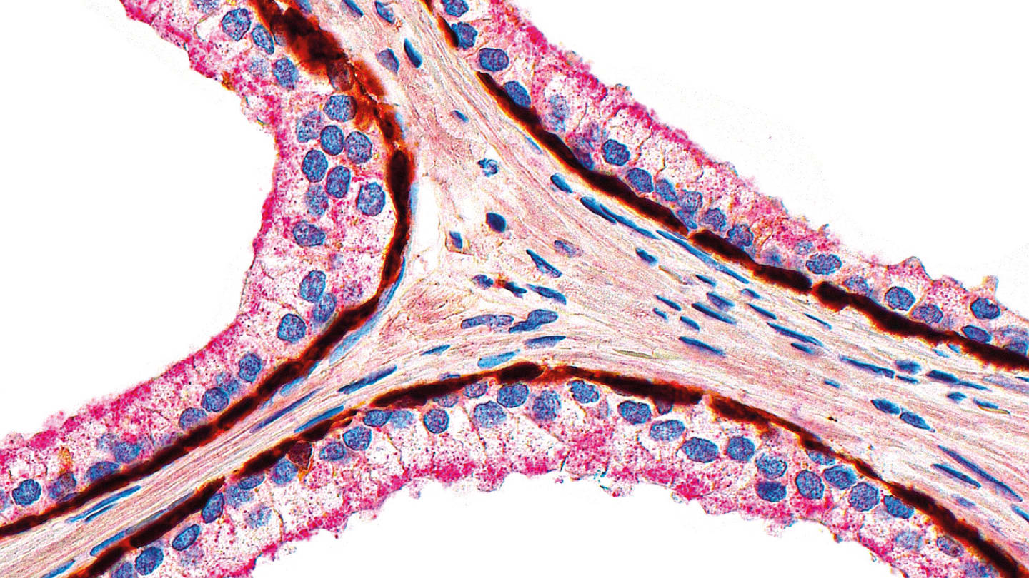
Our image of the month comes from Ziad M. El-Zaatari, who says, “this photomicrograph shows benign prostate glands using PIN-4 immunohistochemical staining at 400× magnification. Three intersecting glands are visible, with clear lumina appearing as white spaces. The basal cells form an intact layer that stains brown with p63 and high-molecular weight cytokeratin components of the PIN-4 stain – indicating benign architecture. The glandular epithelial cytoplasm shows a light pink hue from AMACR staining, while nuclei appear blue with hematoxylin counterstain.”
Ziad M. El-Zaatari is Surgical Pathologist at Houston Methodist Hospital, Department of Pathology and Genomic Medicine, Houston, Texas USA
