
The majority of neurodegenerative research is conducted in non-Hispanic White participants – removing a large subset of racial groups despite the prevalence of dementia. In response, a group of researchers in Houston Texas, US, aimed to improve understanding of dementia-related findings in asymptomatic African-American populations. We spoke with the team to check in on their progress and what they’ve discovered so far.
What inspired this research?
We have a brain bank collecting specimens with different health conditions, including control brains for research. We noticed that some “control brains” had unnoticed neurodegenerative changes and decided to screen all brains collected for neurodegenerative status, allowing for more accurate group profiling for future studies.
Can you describe the inclusion criteria for the autopsy cases?
Each autopsy brain came with a clinical history. If there was no recorded history of memory issues or movement disorders, the brain was labelled as “asymptomatic”. Of course, each autopsy had a cause of death, more commonly from cardiopulmonary conditions.

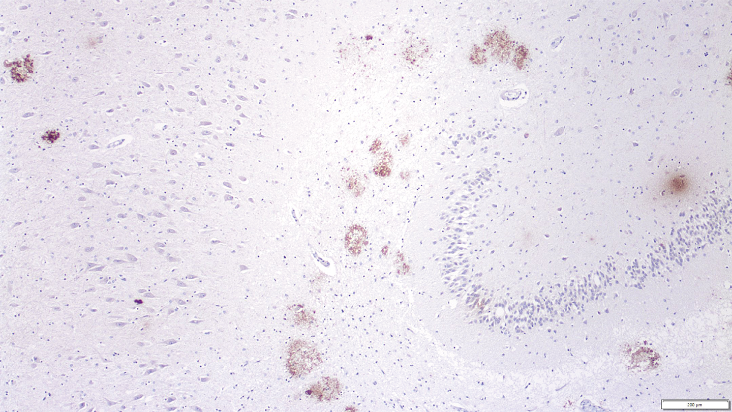
What have been your main findings so far?
We found signs of neurodegeneration at various stages in the brains of asymptomatic patients. Surprisingly, the percentage was quite high. However, since our screening is still in the early phases, we don’t yet have enough cases to make strong statistical comparisons with published data.
Have you come across any challenges during your research?
It’s a very interesting project, but we still need more cases for analysis – particularly in different ethnic groups, including African-American, Hispanic, and Asian. We currently have very limited data from some of these populations compared with Caucasian cases.
What are the implications of your findings for early screening or preventive strategies, particularly in African-American populations?
In the past, we only used the neurodegenerative panel on cases with a clinical diagnosis like Alzheimer’s or clear signs under the microscope, such as plaques. Now, we’re screening all brains, without focusing on any one ethnic group. This gives us a better overall picture of the different types and stages of neurodegenerative changes in the general brain bank.
We’re also working to gather related clinical information. This is just the start of a larger project, and we hope to have answers to your question as it progresses.

What do these results mean for our understanding of Alzheimer's disease?
The brain changes seen in Alzheimer’s disease are very diverse and may be influenced by genetics, health, and lifestyle. Right now, we’ve only just begun to explore a very complex issue – there’s still a lot of work to do before we can fully understand what the future holds.
Image Credit: The interviewees
