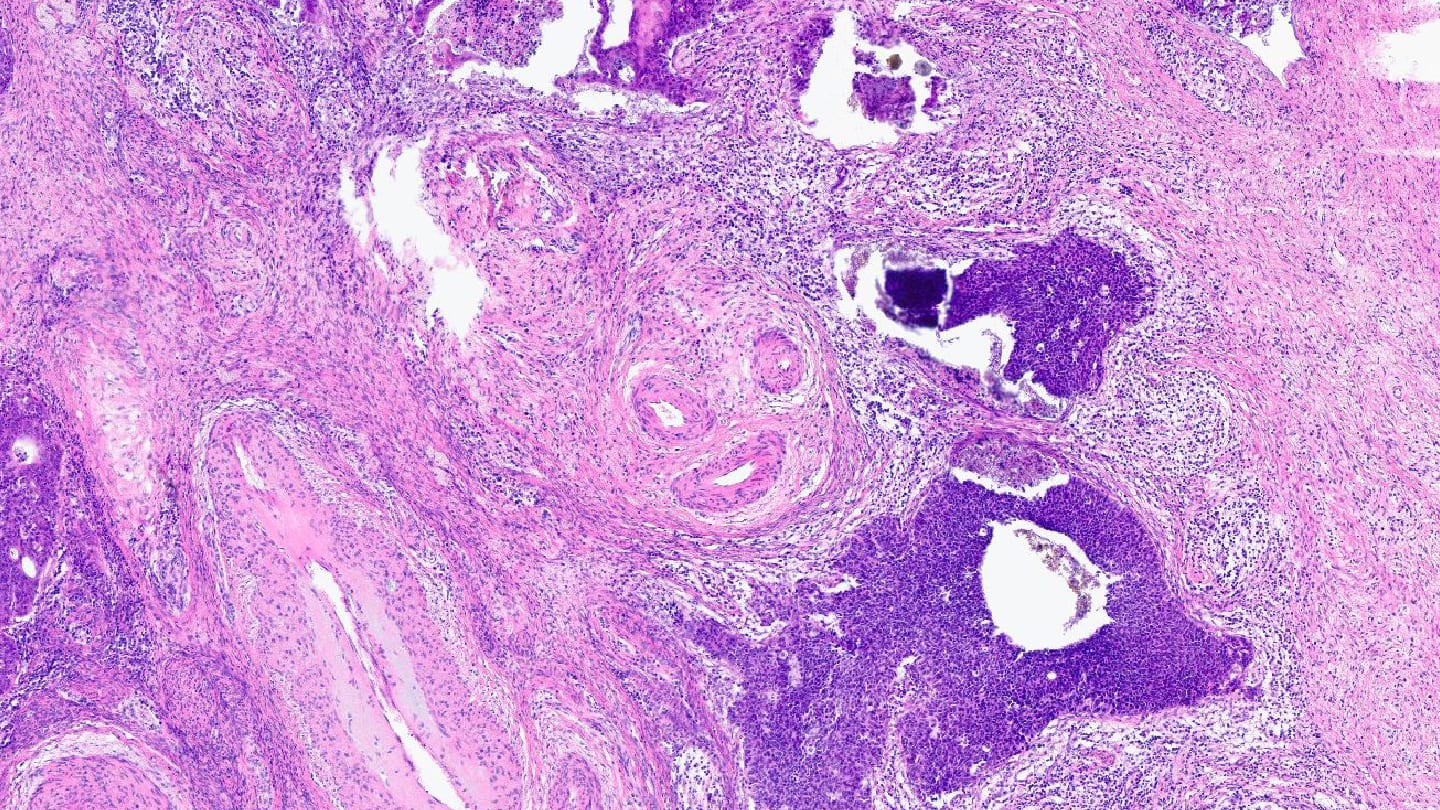
Our image of the month comes from Christine Carreira, who says “Sometimes, beauty hides in unexpected places. In this cervical tumor section, the arrangement of three glands forms an unmistakable smile – reminding us that joy can surface even in the most clinical of settings.”
Christine Carreira, Research Assistant, Histopathology Laboratory, WHO Classification of Tumours Group, Lyon, France
