Mohan Narasimhamurthy
<span>Assistant Professor of Pathology, Microbiology, and Immunology, Vanderbilt University Medical Center, Nashville, Tennessee, USA</span>
False
<span>Assistant Professor of Pathology, Microbiology, and Immunology, Vanderbilt University Medical Center, Nashville, Tennessee, USA</span>
May 28, 2025
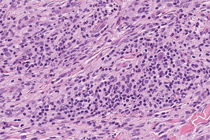
Can you identify an additional lesion found in the breast of a patient with invasive ductal carcinoma?
2 min read
Dive deeper into the world of pathology. Explore the latest articles, case studies, expert insights, and groundbreaking research.
Receive the latest pathologist news, personalities, education, and career development – weekly to your inbox.

False
False
False